• HOLLYWOOD SMILE

FILL FOR MEDICAL CONSULTATION

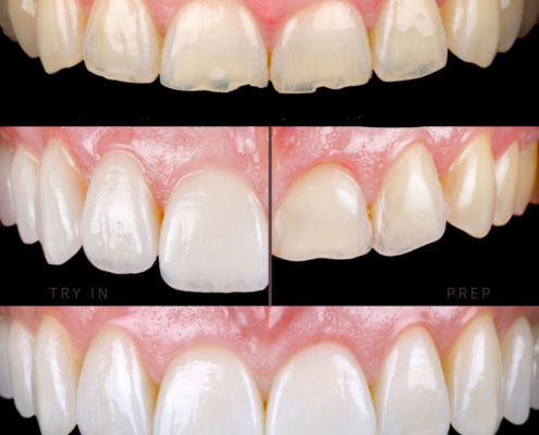
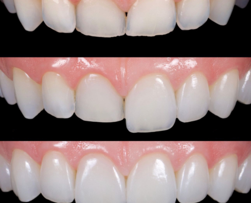
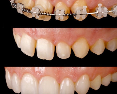
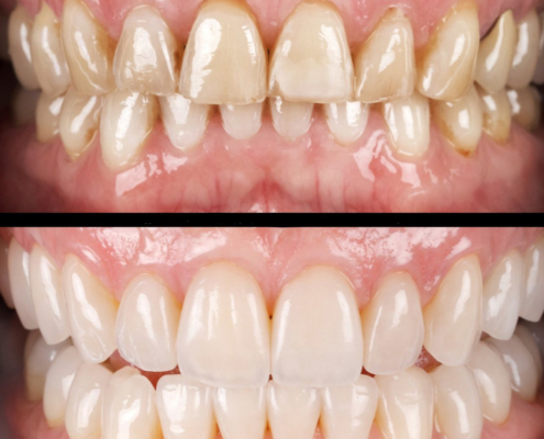
WHAT IS SMILE DESIGN (HOLLYWOOD SMILE)?

Smile designing, also referred to as smile aesthetics, plays a major part in aesthetic dentistry.

The smile designing, which includes the teeth and gingival arrangements in the face aesthetics, is the set of the treatments performed to ensure the harmony of the lips and gums.

How to apply?

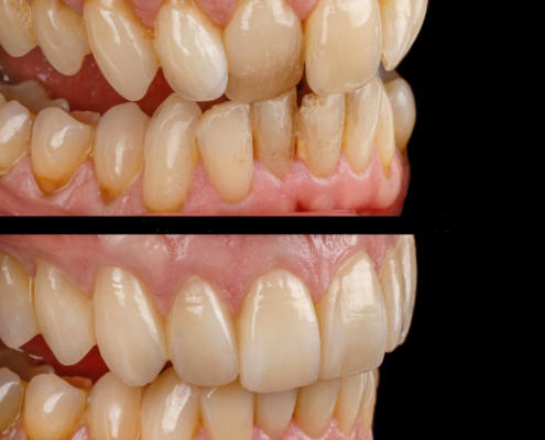
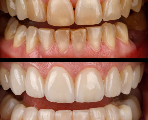
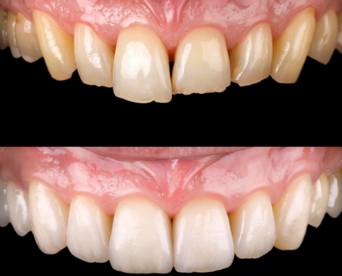
It comes in two different aesthetic types: white and pink. It includes the treatment of tooth and gingiva. The tooth, gingival and bone structure of the patient is examined by radiographic and clinical checks. The treatments required to obtain the most accurate image that suits the person’s face structure are determined. Treatment is completed in several sessions according to the expectations and demands of the patient.

What are the advantages?

Smile designing that increases self-confidence involves the applications where the tooth and gingiva problems are treated and the smile that best suits the face is obtained. The best smile is achieved for the person.

What are the problems involved in treatment?

Smile designing involves no problem as long as it is performed by a specialist dentist in a clinical environement.

  • ADDRESS

    London / UK

  • PHONE (WhatsApp)

    +44 7979 626793

  • E-MAIL

    info@laviniaclinic.co.uk

× How can I help you?